Abcès parodontal

Abcès parodontal

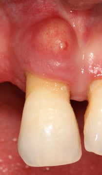
L'abcès parodontal consiste en un gonflement de la gencive lié à une accumulation de pus sous les tissus superficiels.

 

Selon la classification des maladies parodontales, l'abcès parodontal est caractérisé par diverses combinaisons des caractères cliniques suivants : douleur, tuméfaction, modification de la couleur de la gencive, mobilité dentaire, extrusion de la dent, suppuration, évolution étendue vers le sinus, fièvre, adénopathie, radioclarté de l'os alvéolaire affecté. Tous ces facteurs ne doivent pas nécessairement être réunis. La lésion peut être de courte ou de longue durée.

 

L'abcès parodontal peut être observé chez des patients présentant une parodontite non traitée, mais aussi chez des patients traités et suivis dans un programme de maintenance parodontale.

 

Pour le soigner, un drainage doit être effectué, en général grâce à une incision de la gencive, puis la cause doit être traitée (brossage, détartrage et surfaçage radiculaire, recherche de fêlure ou fracture dentaire...).

La prescription d'antibiotique doit être limitée aux cas caractérisés par un retentissement général (fièvre, adénopathie...).


Références bibliographiques

  • Armitage GC. Development of a classification system for periodontal diseases and conditions. Ann Periodontol. 1999 Dec;4(1):1-6.
  • Meng HX. Periodontal abscess. Ann Periodontol. 1999 Dec;4(1):79-83.
  • Lang NP, Soskolne WA, Greenstein G, Cochran D, Corbet E, Meng HX, Newman N, Novak MJ, Tenenbaum H. Consensus report: abscesses of the periodontium. Ann Periodontol. 1999 Dec;4(1):83.

Dernière mise à jour de cette page : le 08 février 2011