Gingivite et parodontite ulcéro-nécrotiques en images

 

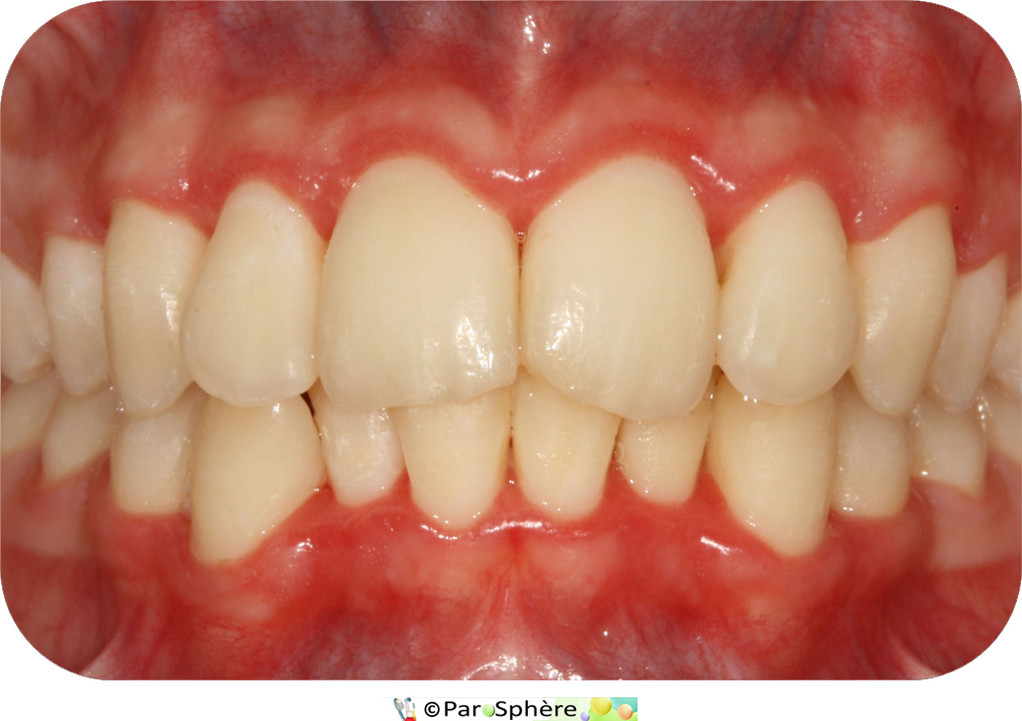
Cette jeune patiente, âgée de seulement 17 ans présente une parodontite ulcéro-nécrotique caractérisée par une importante inflammation gingivale, des saignements spontanés (en haut à sa droite), des douleurs vives l'empêchant de brosser et une desquamation de la gencive entre les dents.

 

La première photographie montre une vue clinique des secteurs antérieurs avant traitement.

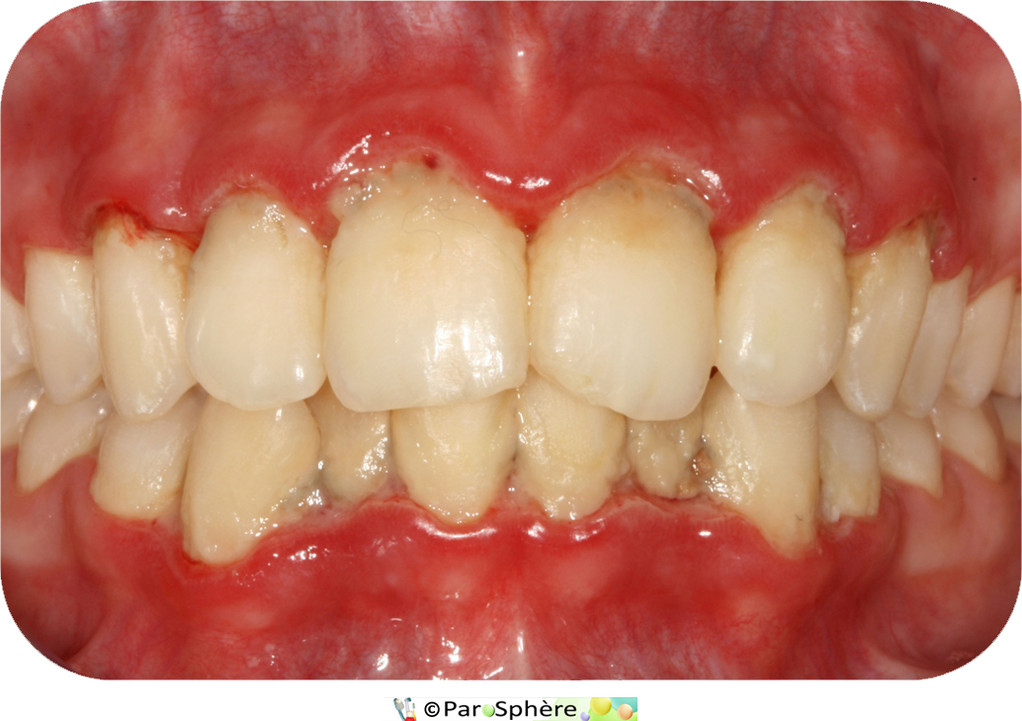
La deuxième montre l'aspect clinique  2 semaines après traitement parodontal.

 

Le traitement s'est étalé sur 2 semaines et a consisté en :

  • une prescription d'antibiotiques,
  • l'apprentissage d'une méthode de brossage efficace (brosse à dents très souple, puis souple),
  • deux séances de détartrage, surfaçage radiculaire et polissage.

Un suivi régulier est alors nécessaire pour éviter toute récidive.


Page précédente

Dernière mise à jour de cette page : le 08 février 2011