Focus | Traitement des récessions gingivales

Lorsque la gencive se rétracte et expose une partie de la racine dentaire, on parle de récession gingivale. Celle-ci peut entraîner une sensibilité au froid ou une gêne esthétique. Parfois aussi, lorsque la taille de la récession est importante ou lorsque la gencive est trop fine, le risque d’aggravation augmente. À terme, une récession trop importante, même sans sensibilité ni gêne esthétique, limite la précision du brossage, favorise l’émergence de gingivite et parodontite et peut se solder par la perte de la dent dénudée. Ces situations nécessitent d’intervenir de plusieurs façons.

Dans un premier temps, il s’agit d’identifier les causes de la récession : anatomie de gencive trop fine, brossage traumatique, forme de la dent, position de la dent, traitement orthodontique, couronnes ou soins de caries mal adaptés, piercing de la lèvre ou de la langue, bride gingivale [1-5]. Les facteurs de risque faciles à modifier doivent l’être avant d’envisager le recours à une intervention chirurgicale.

Il existe plusieurs techniques chirurgicales, les principales sont la greffe épithélio-conjonctive et la greffe de conjonctif enfoui [6]. 


Greffe épithélio-conjonctive

La greffe épithélio-conjonctive est une technique qui date de la moitié du siècle dernier [7,8]. Elle consiste, sous anesthésie locale, à prélever un rectangle de gencive au niveau du palais et de le positionner au niveau de la récession gingivale afin de stopper son évolution. Le greffon est fixé avec des points de suture. Et le site donneur ainsi que le site receveurs peuvent être recouvert d’un pansement adapté au milieu buccal pour limiter le saignement postopératoire et les douleurs occasionnées par les aliments.

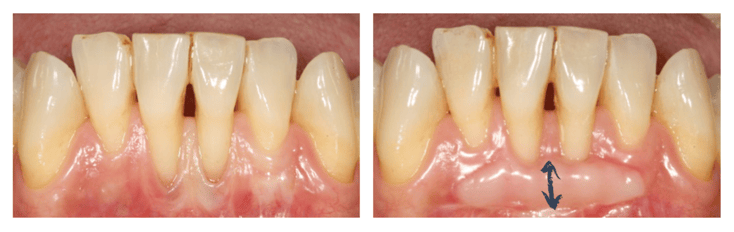
Greffe épithélio-conjonctive en regard d'une couronne dentaire prothétique © ParoSphère
Figure 1 - Greffe épithélio-conjonctive en regard d'une couronne dentaire prothétique © ParoSphère

L'objectif principal de cette technique n'est pas de recouvrir la partie de la racine dénudée mais de constituer un bandeau protecteur de gencive sous la récession. Cette technique n'est donc pas indiquée dans une zone esthétique. En revanche, elle est souvent utilisée pour renforcer la gencive autour de dents qui seront couronnées (Figure 1) ou pour stabiliser des récessions sur des dents du bas, non visibles lors du sourire (Figure 2).

Greffe épithélio-conjonctive en regard de récessions gingivales © ParoSphère
Figure 2 - Greffe épithélio-conjonctive en regard de récessions gingivales © ParoSphère

Greffe de conjonctif enfoui

La greffe de tissu conjonctif est une technique plus récente, en constante évolution [9-12]. L'apport des micro-instruments permet aujourd'hui une approche moins traumatique, plus précise et plus esthétique. Une fois l’anesthésie locale effectuée, le parodontiste prélève un greffon à l'intérieur du palais en ouvrant un volet gingival. Il le positionne ensuite sur la partie dénudée de la dent touchée par la récession et le recouvre dans la mesure du possible en tractant la gencive par-dessus. Il fixe le greffon et la gencive dans la position voulue avec des points de sutures. Le volet ouvert au palais est ensuite simplement refermé avec des sutures, n'exposant pas de plaie à vif et diminuant ainsi les suites postopératoires.

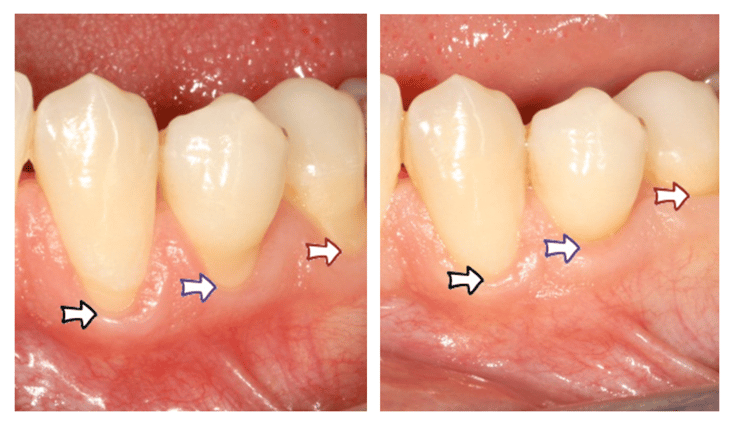
Cette technique permet de repositionner la gencive dans sa position initiale, ou dans une position qui s’en rapproche, et permet d’augmenter l’épaisseur de cette gencive limitant ainsi le risque de récidive (Figure 3).

Recouvrement de la racine dénudée avec une greffe de conjonctif enfoui © ParoSphère
Figure 3 - Recouvrement de la racine dénudée avec une greffe de conjonctif enfoui © ParoSphère

Ces techniques de recouvrement radiculaire ne sont pas ou peu possibles lorsque la rétraction de la gencive est liée à un déchaussement dentaire dû à une parodontite. La perte des papilles, c'est à dire la présence de trous entre les dents, limite les possibilités de recouvrement des racines dénudées [13].


Après l’intervention

Les greffes de conjonctif enfoui entraînent moins de douleurs postopératoires que les greffes épithélio-conjonctives [14]. Pour autant, quelle que soit la technique utilisée, les suites postopératoires imposent des prises d'antalgiques pendant au moins 48 heures.

L'apparition d'un œdème postopératoire ou d'un hématome est possible, imposant au patient de ne pas avoir d'impératif de représentation pendant les 48 heures qui suivent l'intervention. De façon rare également, il peut y avoir des saignements au niveau des sites donneurs et receveurs [15,16].

Pour s’assurer de la cicatrisation et pour déposer les fils de sutures, un contrôle postopératoire est réalisé dans les 10 jours qui suivent l’intervention. Un autre contrôle peut être réalisé à partir de deux mois postopératoires pour observer le résultat de l’intervention. À ce moment, le palais est intégralement reformé et le greffon parfaitement intégré à la gencive du site receveur.


Résultats à long terme

Les récidives de récessions gingivales sont rares. Elles sont le plus souvent dues à une mauvaise évaluation ou une mauvaise correction des facteurs ayant généré la récession. Il est ainsi inévitable d’observer une nouvelle récession dans les années qui suivent une greffe gingivale si, par exemple, le brossage des dents n’est pas réalisé avec une brosse souple de bonne qualité et avec une méthode de brossage adaptée.

Dans les cas où ces facteurs initiaux sont bien maîtrisés, les résultats des greffes gingivales sont stables dans le temps [17-19].


Foire aux questions

Brossage débutant

Entre les dents



Références bibliographiques

  1. Kassab M M, Cohen R E. The etiology and prevalence of gingival recession. J Am Dent Assoc 2003;134: 220–225.
  2. Baker P, Spedding C. The aetiology of gingival recession. Dent Update 2002; 29: 59–62.
  3. Gorman W J. Prevalence and etiology of gingival recession. J Periodontol 1967; 38: 316–322.
  4. Hennequin-Hoenderdos NL, Slot DE, Van der Weijden GA. Complications of oral and peri-oral piercings: a summary of case reports. Int J Dent Hyg. 2011
  5. Wennstrom J L. Mucogingival therapy. Ann Periodontol 1996; 1: 671–701.
  6. Chambrone L, Sukekava F, Araújo MG, Pustiglioni FE, Chambrone LA, Lima LA. Root coverage procedures for the treatment of localised recession-type defects. Cochrane Database Syst Rev. 2009 Apr 15;(2):CD007161.
  7. Haggerty PC. The use of a free gingival graft to create a healthy environment for full crown preparation. Case history. Periodontics. 1966 Nov-Dec;4(6):329-31.
  8. Nabers JM. Free gingival grafts. Periodontics. 1966 Sep-Oct;4(5):243-5.
  9. Langer B, Langer L. Subepithelial connective tissue graft technique for root coverage. J Periodontol. 1985 Dec;56(12):715-20.
  10. Raetzke PB. Covering localized areas of root exposure employing the "envelope" technique. J Periodontol. 1985 Jul;56(7):397-402.
  11. Zabalegui I, Sicilia A, Cambra J, Gil J, Sanz M. Treatment of multiple adjacent gingival recessions with the tunnel subepithelial connective tissue graft: a clinical report. Int J Periodontics Restorative Dent. 1999 Apr;19(2):199-206.
  12. Zucchelli G, De Sanctis M. Treatment of multiple recession-type defects in patients with esthetic demands. J Periodontol. 2000 Sep;71(9):1506-14.
  13. Miller PD Jr. A classification of marginal tissue recession. Int J Periodontics Restorative Dent. 1985;5(2):8-13.
  14. Wessel JR, Tatakis DN. Patient outcomes following subepithelial connective tissue graft and free gingival graft procedures. J Periodontol. 2008 Mar;79(3):425-30.
  15. Griffin TJ, Cheung WS, Zavras AI, Damoulis PD. Postoperative complications following gingival augmentation procedures. J Periodontol. 2006 Dec;77(12):2070-9.
  16. Harris RJ, Miller R, Miller LH, Harris C. Complications with surgical procedures utilizing connective tissue grafts: a follow-up of 500 consecutively treated cases. Int J Periodontics Restorative Dent. 2005 Oct;25(5):449-59.
  17. Agudio G, Nieri M, Rotundo R, Franceschi D, Cortellini P, Pini Prato GP. Periodontal conditions of sites treated with gingival-augmentation surgery compared to untreated contralateral homologous sites: a 10- to 27-year long-term study. J Periodontol. 2009 Sep;80(9):1399-405.
  18. McGuire MK, Scheyer ET, Nunn M. Evaluation of human recession defects treated with coronally advanced flaps and either enamel matrix derivative or connective tissue: comparison of clinical parameters at 10 years. J Periodontol. 2012 Nov;83(11):1353-62.
  19. Nickles K, Ratka-Krüger P, Neukranz E, Raetzke P, Eickholz P. Ten-year results after connective tissue grafts and guided tissue regeneration for root coverage. J Periodontol. 2010 Jun;81(6):827-36.