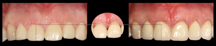
L'élongation coronaire est une intervention de chirurgie parodontale qui consiste à déplacer l'ensemble du parodonte afin de découvrir la racine de la dent.
Cette intervention est recommandée pour faciliter le traitement d'une carie qui se développe sous la gencive, ou pour permettre de couronner une dent fracturée sous le niveau de la gencive, ou encore pour découvrir une plus grande surface de tissu dentaire afin de mieux ancrer une couronne prothétique.
L'élongation coronaire n'est possible que lorsque la racine de la dent est suffisamment longue, sinon l'intervention engagerait le pronostic de ladite dent.

Dernière mise à jour de cette page : le 22 avril 2014